request a free initial exam

Online Smile Assessment

Get a Free Online Smile Check from the Comfort of Your Home!

Technology has led to advancements in nearly every field. Orthodontics is no exception. Thanks to the quality cameras available on today’s cell phones, Dr. Craig Hadgis can now offer you a free smile assessment with no obligation.

By taking three selfies of your teeth and texting them to our office, you will be able to receive feedback from one of the top orthodontists in St. Johns and St. Augustine, Florida. If you’ve been thinking about improving your smile, why wait?

Take advantage of the easy access for a quick and quality orthodontic consultation! You will also be able to obtain a quote for your treatment. Affordability has always been a priority.

  • STEP 1: Smile and take a SELFIE with your teeth together.
  • STEP 2: Lean your head back and take a SELFIE of your top teeth.
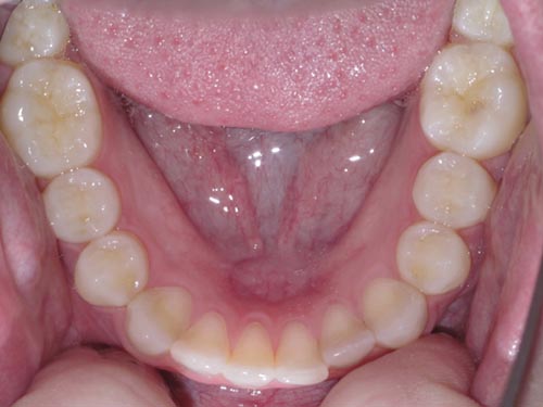
  • STEP 3: Tip your head down and take a SELFIE of your bottom teeth.
  • STEP 4: Text your SELFIES to (904) 797-6453 and Dr. Hadgis will text you back with your Smile Options!

The Smile Assessment is FREE with NO obligation. We do not share your submitted details with any third party.

*Please note that texts, emails, and Facebook may not be 100% secure based on your carrier, phone type, and e-mail service. By submitting these photographs, you consent to these types of communications.

904.79.SMILE